Specialities
診療科・部門案内
診療科

一般歯科
当診療所では、虫歯、歯周病治療、根管治療などの全ての治療において、「高濃度次亜塩素酸 電解機能水」を使用しています。塩素、殺菌と聞くと身体に悪いと思いがちですが高い殺菌力を持ちながら、生体由来であり、菌と反応すると中性になり、良い菌を殺すことなく身体に害は全くありません。 また抗生物質も過剰投与による耐性菌のリスクがあるためここぞという時にしか内服をお勧め致しません。衛生管理と免疫力による治癒を基本としています。

小児歯科
むし歯、歯肉炎、不正咬合(矯正)など子供の口の状態と成長に対応した治療をおこなっています。
トラウマになるので急性期を除き、ムリに押さえつけての治療は行いません。
聞き分けが出来る3歳以上で親に甘えてしまう子は親と子を離して診療を行う「母子分離法」を行ないます。
フッ素塗布は近年になり日常的な使用がネガティブに作用するのではないかとの懸念が国際的に広がっています。
【フッ素塗布に対する懸念】
●外国で水道水にフッ素を添加している国が40か国位から現在では半減しています。
●フッ素は歯のハイドロキシアパタイトに作用し、酸に強いフルオロアパタイトに変えることで歯を強くしますが、
再石灰化には到底及ばないこと。むしろ、唾液による作用の方が強いと言われています。
●副作用に斑状歯、骨の発育不全、骨折率の上昇、ダウン症、がん、認知症が確認されています。その他、脳の機能障害、
糖尿病、奇形、乳がん、知能低下、アルツハイマー病、内分泌かく乱作用、不妊、甲状腺機能障害、胆のうがんリスクが懸念されています。
●WHOは、6歳未満の子供へのフッ素洗口を用いるべきではないとしています。
●スウェーデン、オランダ、ドイツでのフッ素の使用中止、アメリカも方向転換し始めています。
●FDA(米・食品医薬品局)がフッ素入り歯磨剤を毒物と認定しています。
●フッ素の毒性は、合成界面活性剤より危険という警告がされています。
当院では上記の理由から、フッ素塗布は乳歯列期には基本行いません。
塗布はムシ歯リスクの高い生え始めの永久歯(6歳〜)のみです。薬物感受性の高い乳幼児期には行いません。
その代わりにムシ歯にならない子供の2%の口の中に存在する善玉菌(ブリス菌)の塗布を行なっています。
フッ素を塗って安心するよりも定期的な検診、クリーニングによる衛生管理を推奨しています。

矯正歯科
小児矯正では顎の成長を補助する拡大床により永久歯を並ぶ隙を確保したり、受け口や出っ歯の矯正、永久歯列になったら歯にボタンを付けてワイヤーで歯をキレイに並べたりします。お子さんの歯並びが気になっていたらお早めにご相談ください。
成人矯正では通常のボタンを付けてワイヤーで並べる矯正や取り外し可能の透明なマウスピース矯正を行なっています。矯正中は苦行ですが、見た目はモチロンのことですが歯並びが良いとお掃除しやすくなり汚れが溜まりづらく、将来のムシ歯や歯周病のリスクを大幅に減少することが最大のメリットです。

口腔外科
口腔外科第1.5次医療機関として、歯牙脱臼や歯槽骨骨折等の外傷、智歯周囲炎(おやしらず)・嚢胞・顎関節症・口腔乾燥症などの口腔外科的疾患を扱います。入院や大きな手術が必要な一部の疾患については各専門医療機関をご紹介します。かかりつけ歯科からご紹介を受けお越しになる際は診療情報提供書(紹介状)および服薬内容がわかるものを必ずお持ちください。

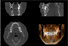
インプラント
最初にインプラントが必要な歯の数、患者様の骨がどのような状態にあるのかを診察し治療方針を決定します。その後手術で埋め込んだネジが骨にくっつくのを3ヶ月位待ちます。
骨とインプラントがしっかりと繋がったことが確認できたら型を取って人工の歯を取り付けます。
上顎の骨は下顎と比較して柔らかいので半年くらい骨と繋がるのを待つ必要があるため治療期間は長くなります。
インプラントは自分の歯と同様に噛めるようになるため歯をなくしてしまった患者様にはより良い治療の選択肢といえるでしょう。
ただし患者様の顎の骨の状態によっては施すことが難しい場合がございますので、治療を検討中の患者様はまずは当院へご相談ください。
部門

キッズスペース
壁にお絵描きしたり、ハンモックに揺られ本を読んだりボルダリングの壁登りを楽しめます。
小さいお子さんがいる親御さんも安心して治療が受けられます。